NOTA CENTRAL
Sensibilidad y especificidad de la radiografía, frente a tomografía y resonancia magnética en lesiones fisiarias en Clínica del Valle, Comodoro Rivadavia, Argentina
Las fracturas de Salter-Harris (fracturas fisarias) afectan la placa de crecimiento (fisis) y, por lo tanto, se aplican específicamente a las fracturas óseas en niños. El sistema de clasificación utilizado para graduar las fracturas, según la afectación de la fisis, la metáfisis y la epífisis, es importante, ya que influye tanto en el pronóstico como en el tratamiento.
NOTAS DESTACADAS
Neumomediastino: revisión de causas y asociaciones más frecuentes
El mediastino se define como la estructura de tejidos y órganos que separa los dos sacos pleurales, ubicada entre el esternón por delante y la columna vertebral por detrás, y que se extiende desde la entrada torácica por encima hasta el diafragma por debajo (…)
Casuística radiológica de hidatidosis en área endémica, Comodoro Rivadavia, provincia de Chubut: análisis retrospectivo de 161 estudios en la Patagonia argentina (2016-2025)
La hidatidosis es una zoonosis parasitaria persistente en zonas endémicas, como la Patagonia argentina. El objetivo general de este estudio fue analizar la presentación radiológica de la hidatidosis en pacientes de una zona endémica, evaluando su distribución temporal, demográfica, anatómica y clasificatoria (…)
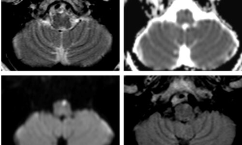
Lesiones del tronco encefálico: correlación anatómico-imagenológica en una serie de casos
Bajada Este artículo ilustra patrones representativos de lesiones mesencefálicas, pontinas y bulbares, mediante una serie de casos con énfasis en la correlación anatómico-imagenológica (…).
CASUÍSTICA
El desequilibrio metabólico en imágenes: cáncer de endometrio y obesidad
El cáncer de endometrio es el tumor ginecológico más frecuente y presenta un incremento sostenido de su incidencia en las últimas décadas, en estrecha relación con el aumento global del sobrepeso y la obesidad (…)
A propósito de una entidad asintomática y poco frecuente: tumor del glomus carotídeo abordaje diagnóstico
Los tumores del glomus o cuerpo carotídeo pertenecen a la familia de los paragangliomas, tumores neoplásicos que se desarrollan a lo largo de la cadena ganglionar autonómica, desde la cabeza hasta la pelvis, siendo los paragangliomas cervicales más frecuentes (…)
Trombosis portal. A propósito de un caso
La trombosis portal es una entidad que puede estar originada por diversas patologías tanto abdominales y/o sistémicas. Es más frecuente en pacientes con hepatopatía de base (cirrosis, HCC) o que presentan algún estado de hipercoagulabilidad por diversas causas (…)
SÍNTESIS
MRI Signal Intensity–based Approach to Synovial Masses
El análisis de la intensidad de señal en RM permitió una diferenciación precisa de las masas sinoviales, con una alta correlación clínica.
Imaging Intracranial Aneurysms inthe Endovascular Era: Surveillanceand Posttreatment Follow-up
Si bien la mayoría de los aneurismas intracraneales (AI) permanecen asintomáticos durante la vida del paciente, aquellos que se rompen pueden causar resultados devastadores.
Update to the Society of Radiologists in Ultrasound LiverElastography Consensus Statement
La elastografía por ondas de corte (SWE) ha demostrado ser una técnica esencial para la evaluación no invasiva de la rigidez del hígado.
ENTREVISTAS Y EVENTOS
«Es muy importante la función del docente. Uno siembra. Hay semillas que prenden y otras que no, pero la obligación es sembrar”
Conversamos con el Dr. José Luis San Román, profesor titular de la Cátedra de Radiología de la Universidad de Buenos Aires, quien nos cuenta acerca de su
“Estamos desarrollando la educación en seguridad radiológica”
En el transcurso de la celebración del centenario de la Sociedad Argentina de Radiología, en Parque Norte, tuvimos la oportunidad de encontrarnos con el Dr. Ricardo García Mónaco y confirmar su reciente designación como
«El Congreso Internacional mostrará cómo debe verse la radiología actual»
Con motivo de la realización en Buenos Aires del 29° Congreso Internacional de Radiología, el Dr. Gustavo Saubidet entrevistó para Síntesis al Dr. Claudio José Bonini, quien presidirá, en representación de la FAARDT (...)












